DENTAL IMPLANTS
Restore your smile with dental implants permanent
Have you lost one or several teeth?
This can affect not only your smile, but also your way of eating, talking, and feel yourself.
With time, the loss of the teeth can cause damage to your oral health.
The teeth move, the bone is reabsorbed and your self-confidence diminishes without you realizing.
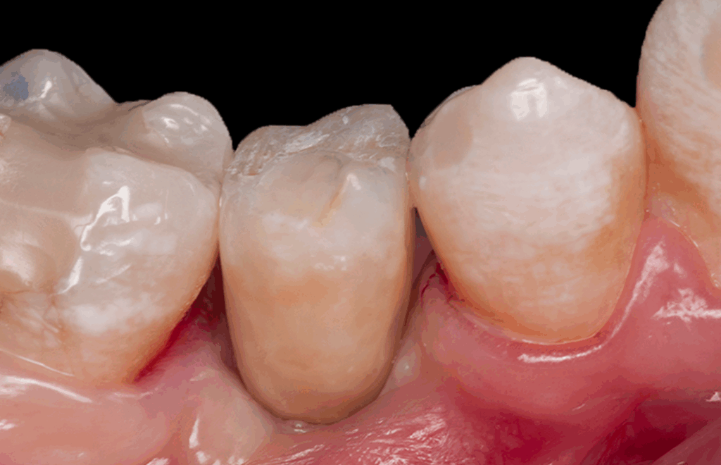
With dental implants, you recover your smile and your quality of life.
They are comfortable, durable and look like natural teeth. Eat, smile and speak with confidence again.
Recover much more than your smile with your dental implants
- Retrieves the natural function for eating with security
- Improve your pronunciation and way of speaking
- Prevents your teeth to move or wear out
- Forget about removable dentures uncomfortable
- Enjoy a fixed solution, stable and durable
- Choose an aesthetic option that looks like a natural tooth
- Feel the freedom of living without worrying about your smile
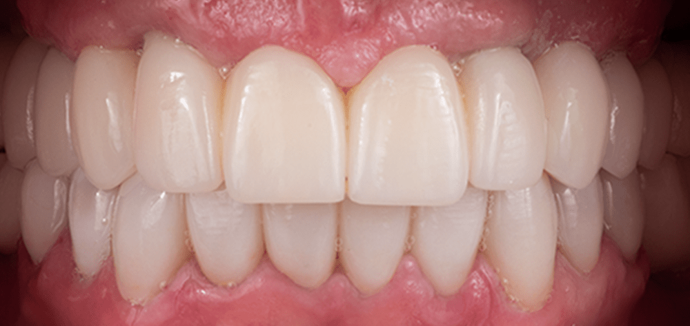
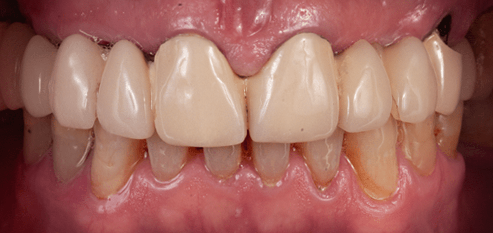
BEFORE AND AFTER
Watch the success stories of our patients with their dental implants in Queretaro
Recover your smile in 3 steps
Discover how easy it is to go back to eat, speak and smile with confidence.
Agenda tu cita de valoración
We evaluate your oral health, we take x-rays, and discuss if implants are ideal for you.
We design your treatment
We create a personalized plan with digital technology to ensure precision, comfort and long-lasting results.
Place your implant
Realizamos el procedimiento libre de molestias. En poco tiempo, disfrutarás de una sonrisa firme, funcional y natural.
LISTENING TO OUR PATIENTS
A new concept in dentistry:
Relax, enjoy and smile



















From the moment you walk into EDC, envelops you in a sensation of peace of mind. Everything —the lighting, the smells, the music— is designed to make you sit in a spa, not a dental clinic. Our team welcomes you with warmth, listen to your needs and accompanies you step-by-step with personalized attention.
Here, regain your smile with dental implants is a different experience. We use advanced technology to plan every detail with accuracy and show you how it'll look the end result before you start. The procedure is comfortable, without pain, and is intended to allow you to recover not only your teeth, but also your safety when you smile, eat, and live with freedom.
“I didn't know that the dental implants I return both more than my teeth. From the first appointment I felt confidence. Everything was comfortable, without pain, and now I can smile, speak and eat with freedom. The result exceeded all that I imagined.”
This is how your first appointment will look like
WHO ARE WE?
We are dentists with international experience and specialized in cosmetic dentistry and comprehensive. Since 5 years we are proud to be working with the best dentists in querétaro to provide the best care, using cutting-edge technology to eliminate the long hours of waiting, the return to an endless number of consultations and adjustments slow all hate.
We have the bestit is specialists in Orthodontics, Veneers, Implants and Teeth whitening.
We are engagesy to give you the smile you've always wanted! In fact, many of the smiles the most beautiful of the entertainment industry in Mexico and the united States have gone out of our office.
– Dr. Iveth Ramirez & Dr. Johan Figueira.
what our patients think about us?
Five-Star Service
6 Years of Creating Smiles with Dental Implants in Queretaro
Dozens of patients to confirm our quality and exceptional care.
EDC you will receive a high level of service that ensures comfort, confidence and amazing results.
These are some views of our patients:
Esthetic Dental Center - Dentist in Queretaro
interior 15-2, Blvd. Bernardo Quintana Arrioja 15, Bosques del Acueducto, Santiago de Querétaro
4.7 230 reviews
-
Estefany Estrada Morales ★★★★★ en la última semana
10/10 ¡Excelente servicio! su material de calidad, buen trato. Los recomiendo ampliamente ❤️ -
Pablo Corona ★★★★★ A week ago
Quiero compartir mi experiencia por que realmente lo vale.
Me realizaron 10 extracciones y la colocación ... More de 8 implantes, un procedimiento grande que desde un inicio me generaba miedo e incertidumbre.
Primero agradecer a la Dra. Iveth Ramirez y a su equipo por la atención profesional y humana que me brindaron en el proceso, desde un inicio su explicación fue con toda claridad.
En todo momento me sentí seguro y acompañado lo que marcó gran diferencia para mi.
El procedimiento fue mejor de lo que esperaba así como la atención después del mismo.
La clínica impecable.
ESTHETIC DENTAL CENTER ;
Gracias!!! -
Rosalía García Hernández ★★★★★ 2 weeks ago
súper completo. es un espacio dental integral. estoy maravillada con el trato. los detalles, el seguimiento. ... More Empecé Yo y ya traje a mis hijos , a mi madre, etc.
Ahora tambien mi colega.
Amo los resultados en mi diseño de sonrisa.
No debo desplazarme, aquí tienen todo el equipo, el laboratorio dental, los especialistas (incluso la anestesió WOOW) TOOODOOO
O SEA una maravilla! Estoy fascinada.
100% RECOMENDABLE
Why EDC?
Por qué nuestros pacientes prefieren venir a Esthetic Dental Center
Having a beautiful smile is easier than ever
We have payment facilities and Months Without Interest
Frequently Asked Questions
It is an artificial root made of titanium that is placed into the jaw bone to replace a missing tooth. It works as a base for a crown, bridge, or fixed prosthesis.
No. The procedure is performed with local anesthesia, and many times it is more comfortable than a dental extraction. The recovery is typically fast and with minimal discomfort.
With good care, an implant can last for decades or even a lifetime. Solution is a reliable and durable.
In general, yes. You just need to have good oral health and bone. If there is bone loss, can be made grafts to make it viable treatment.
It depends on the case. In some, are placed implants and temporary teeth the same day. In others, they require 3 to 6 months for the complete integration.
Yes. Once the treatment is finished, you'll be able to eat with confidence and without restrictions, just like with your natural teeth.
Proper hygiene, regular visits to the dentist and avoiding smoking are key to maintaining your implant is in good condition for many years.

