BLANQUEAMIENTO DENTAL Y DESMANCHAMIENTO

Created with Sketch.
Created with Sketch.

Blanqueamiento dental en querétaro

Tu sonrisa más blanca en una sola sesión

DESMANCHAMIENTO DENTAL

Beneficios

BLANQUEAMIENTO DENTAL

Beneficios
tienes manchas en los diente

PROCESO DEL BLANQUEAMIENTO DENTAL

1. HAZ TU CITA

Toma el teléfono y haz una cita el día y hora que te sea más conveniente

2. BLANQUEA TUS DIENTES

Obtén un blanqueamiento profesional en el consultorio

3. SONRÍE CON BLANCURA

Llévate un kit para reforzar el blanqueamiento y hacer que dure mucho más tiemp

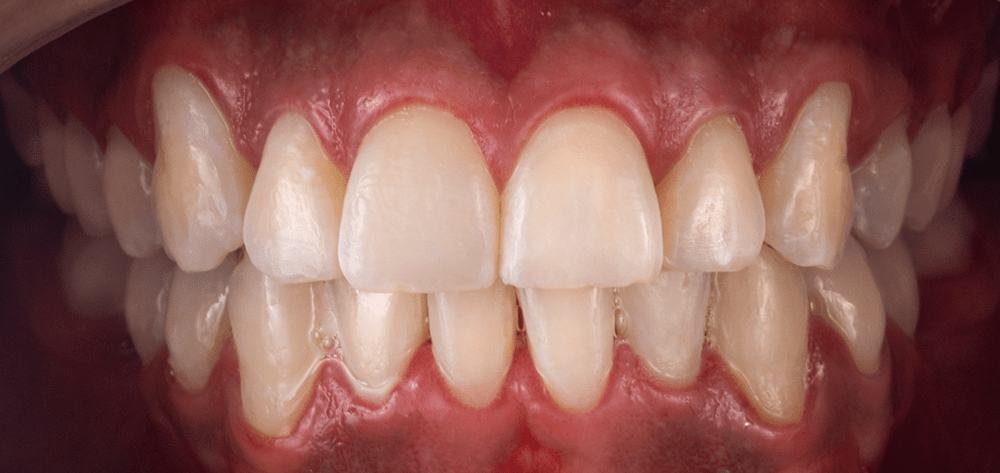
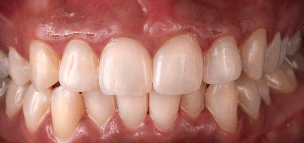
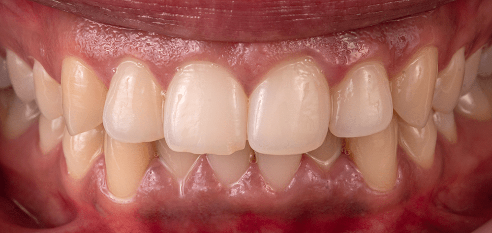
ANTES Y DESPUÉS

Cambia tu sonrisa como cientos de pacientes 

Antes Después
Antes Después
Antes Después

ESCUCHA A NUESTROS PACIENTES

#image_title
#image_title
#image_title
#image_title

¿Cómo será tu primera cita?

Primer cita diseño de sonrisa

¿qué opinan nuestros pacientes?

Servicio Cinco Estrellas

7 Años de Excelencia Creando Sonrisas Brillantes y Perfectas en Querétaro

Decenas de pacientes confirman nuestra calidad y atención excepcional.

En EDC recibirás un servicio de alto nivel que garantiza comodidad, confianza y resultados sorprendentes.

Estas son algunas opiniones de nuestros pacientes:

Esthetic Dental Center - Dentistas en Querétaro IconEsthetic Dental Center - Dentistas en Querétaro

interior 15-2, Blvd. Bernardo Quintana Arrioja 15, Bosques del Acueducto, Santiago de Querétaro

4.7 240 reviews

  • Avatar Jesus Regalado ★★★★★ en la última semana
    Excelente atención, amabilidad por parte de todo el personal, el seguimiento a tus tratamientos son bastante … More personalizados y los resultados son increíbles.
  • Avatar Itzel Salinas ★★★★★ en la última semana
    excelente servicio,atención y resultados
  • Avatar FATIMA CHAPA ★★★★★ en la última semana
    Buen servicio, muy profesionales

¿QUIÉNES SOMOS?

Somos dentistas con experiencia internacional y especializados en odontología estética e integral. Desde hace 7 años nos enorgullecemos de trabajar con los mejores dentistas en Querétaro para ofrecer la mejor atención, usando tecnología de punta para eliminar las largas horas de espera, volver a un sin fín de consultas y ajustes lentos que todos odian. Contamos con los mejores especialistas en Ortodoncia, Carillas, Implantes y Blanqueamiento dental. ¡Estamos comprometidos a darte la sonrisa que siempre has querido! De hecho, muchas de las sonrisas más bellas de la industria del entretenimiento en México y Estados Unidos han salido de nuestro consultorio.

– Dra. Iveth Ramírez & Dr. Johan Figueira.

Created with Sketch.
Created with Sketch.

Tener una sonrisa hermosa es más fácil que nunca

Contamos con facilidades de pago y Meses Sin Intereses

PREGUNTAS FRECUENTES

Son muchos los factores que tienden a oscurecer nuestra sonrisa, desde la edad hasta el estado de salud. No obstante, hay algunos alimentos y bebidas que aceleran este proceso, como son el café, el té y, por supuesto, el tabaco, uno de los principales enemigos de nuestra salud bucal; así mismo, se ha demostrado que el oscurecimiento dental no sólo se produce con el simple pasar de los años y por el envejecimiento de los dientes debido a tinciones, el desgaste que va acarreando este envejecimiento y por pequeños micro traumas que surgen en los dientes a lo largo de la vida.

 

En principio, cualquier persona puede hacerse un blanqueamiento dental siempre y cuando no padezca de hipersensibilidad o caries. En pacientes con restauraciones (coronas o empastes) en las piezas que se desean blanquear, se deberá tener en cuenta que deben ser sustituidos por otros que se adecuen al color conseguido.

 

Existen situaciones en las que no deberíamos recurrir a un blanqueamiento dental antes de solventar la situación de la boca:

  • Si tenemos caries sin tratar, gingivitis o periodontitis,
  • Si tenemos dientes sensibles (el especialista debe valorar el caso y tomar las precauciones necesarias),
  • Durante el embarazo (es preferible esperar hasta luego de dar a luz).

Todos los expertos insisten que no se daña, pues el blanqueamiento dental es un tratamiento estético NO invasivo.

 

Por supuesto, además de mantener una higiene bucal constante, durante la primera semana es importante llevar una dieta blanca, evitando el consumo de alimentos con color como:

  • fresas,
  • remolacha,
  • tomate,
  • espinacas, etc.

Además de bebidas que tienden a teñir nuestro esmalte, como:

  • el café,
  • el vino,
  • el té negro

Además de evitar el consumo de tabaco.

Dichos actos harán que el blanqueamiento no funcione y teñirán severamente los dientes.

Hoy en día el blanqueamiento dental es uno de los tratamientos estéticos más demandados por pacientes de todas las edades. Ya que lucir una sonrisa blanca transmite juventud y belleza.

En general las personas que desean realizarse un blanqueamiento están buscan cuidar su salud, su boca, y buscan tratamientos conservadores. Además son personas a las que importa mucho el impacto visual que genera su sonrisa.

Contáctanos

Atendemos y resolvemos correos dentro de nuestro horario de atención.

Nombre(Required)

Dirección

Blvd. Bernardo Quintana #15 Int 15-2, CP 76020, Bosques del Acueducto, Querétaro.

Teléfono

442 179 0418
442 674 8747

Horario de Atención

Lunes a viernes: 9:00 a 19:00 hrs
Sábado: 9:00 a 14:00 hrs