BRACKETS Y ALINEADORES
Alinea tu sonrisa y gana confianza
Con más de 20 años de experiencia, el Dr. Tadeo es un líder en ortodoncia y conferencista internacional. Especializado en Invisalign, Damon System y autoligado, combina innovación y tecnología avanzada para brindarte tratamientos precisos, estéticos y cómodos.
¿Sientes que tus dientes torcidos afectan tu confianza o salud bucal? Sabemos que esto puede afectar tu sonrisa y tu confianza al hablar o sonreír.
Con el tiempo, también puede generar caries, mal aliento o desgaste en tus dientes.
No dejes que eso avance.
Con un tratamiento de ortodoncia moderna y discreta en EDC, puedes alinear tu sonrisa sin dolor y empezar a sentirte mejor contigo en muy poco tiempo.
¿Por qué empezar tu tratamiento de ortodoncia hoy?
- Corrige la alineación de tus dientes
- Mejora tu sonrisa y tu confianza
- Facilita la higiene bucal diaria
- Previene caries y enfermedades de encías
- Evita desgastes dentales y dolores mandibulares
- Armoniza tu rostro y perfil facial
- Disfruta de una mordida funcional y saludable
- Transforma tu sonrisa y tu bienestar
Tu sonrisa alineada en 3 pasos
Descubre lo fácil que es transformar tu sonrisa con un tratamiento cómodo, moderno y personalizado.
Agenda tu cita de valoración
Escuchamos tus necesidades, evaluamos tu sonrisa y te explicamos las opciones que mejor se adaptan a ti.
Elige tu tratamiento de ortodoncia
Conoce las diferencias entre ortodoncia tradicional, estética, autoligado o invisible para que elijas la mejor opción para ti.
Empieza a notar el cambio
Inicias tu tratamiento y, desde las primeras semanas, verás cómo tu sonrisa se alinea y tu confianza crece
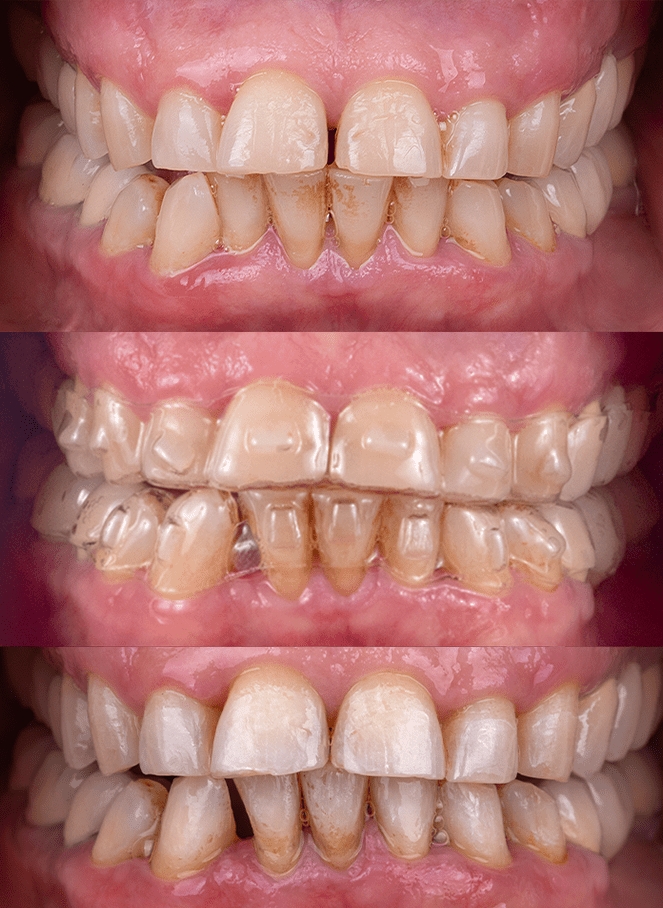
ANTES Y DESPUÉS
Pacientes felices con nuestros tratamientos de ortodoncia
ESCUCHA A NUESTROS PACIENTES
¿Cómo será tu primera cita?
¿QUIÉNES SOMOS?
Somos dentistas con experiencia internacional y especializados en odontología estética e integral. Desde hace 5 años nos enorgullecemos de trabajar con los mejores dentistas en querétaro para ofrecer la mejor atención, usando tecnología de punta para eliminar las largas horas de espera, volver a un sin fín de consultas y ajustes lentos que todos odian.
Contamos con los mejores especialistas en Ortodoncia, Carillas, Implantes y Blanqueamiento dental.
¡Estamos comprometidos a darte la sonrisa que siempre has querido! De hecho, muchas de las sonrisas más bellas de la industria del entretenimiento en México y Estados Unidos han salido de nuestro consultorio.
– Dra. Iveth Ramírez & Dr. Johan Figueira.
Un nuevo concepto en odontología:
Relájate, disfruta y sonríe



















Desde el momento en que entras a EDC, te envuelve una sensación de tranquilidad. La iluminación, los aromas y la música crean un ambiente relajante que se siente más como un spa que como una clínica dental. Nuestro equipo te recibe con calidez, escucha tus objetivos y te acompaña en cada paso.
Aquí, la ortodoncia se vive diferente. Usamos tecnología avanzada para ayudarte a elegir el tipo de tratamiento que mejor se adapta a ti, ya sea tradicional, estética, de autoligado o invisible. El proceso es cómodo, sin dolor ni tensión innecesaria. Y lo mejor: verás cómo tu sonrisa comienza a transformarse desde las primeras semanas.
"Pensé que ponerme brackets sería incómodo, pero aquí todo fue distinto. Me ayudaron a elegir la mejor opción para mí, y el proceso ha sido más cómodo y discreto de lo que imaginaba. Ya empiezo a notar el cambio, y eso me tiene feliz."
¿qué opinan nuestros pacientes?
Servicio Cinco Estrellas
7 Años Alineando las Sonrisas de Querétaro
Decenas de pacientes confirman nuestra calidad y atención excepcional.
En EDC recibirás un servicio de alto nivel que garantiza comodidad, confianza y resultados sorprendentes.
Estas son algunas opiniones de nuestros pacientes:
Esthetic Dental Center - Dentistas en Querétaro
interior 15-2, Blvd. Bernardo Quintana Arrioja 15, Bosques del Acueducto, Santiago de Querétaro
4.7 230 reviews
-
Estefany Estrada Morales ★★★★★ en la última semana
10/10 ¡Excelente servicio! su material de calidad, buen trato. Los recomiendo ampliamente ❤️ -
Pablo Corona ★★★★★ Hace una semana
Quiero compartir mi experiencia por que realmente lo vale.
Me realizaron 10 extracciones y la colocación … More de 8 implantes, un procedimiento grande que desde un inicio me generaba miedo e incertidumbre.
Primero agradecer a la Dra. Iveth Ramirez y a su equipo por la atención profesional y humana que me brindaron en el proceso, desde un inicio su explicación fue con toda claridad.
En todo momento me sentí seguro y acompañado lo que marcó gran diferencia para mi.
El procedimiento fue mejor de lo que esperaba así como la atención después del mismo.
La clínica impecable.
ESTHETIC DENTAL CENTER ;
Gracias!!! -
Rosalía García Hernández ★★★★★ Hace 2 semanas
súper completo. es un espacio dental integral. estoy maravillada con el trato. los detalles, el seguimiento. … More Empecé Yo y ya traje a mis hijos , a mi madre, etc.
Ahora tambien mi colega.
Amo los resultados en mi diseño de sonrisa.
No debo desplazarme, aquí tienen todo el equipo, el laboratorio dental, los especialistas (incluso la anestesió WOOW) TOOODOOO
O SEA una maravilla! Estoy fascinada.
100% RECOMENDABLE
¿Por qué EDC?
Por qué nuestros pacientes prefieren venir a Esthetic Dental Center
Preguntas Frecuentes
Es un tratamiento que corrige la posición de los dientes y la mordida. Mejora la estética de tu sonrisa y la salud de tu boca, facilitando la higiene y previniendo problemas dentales a futuro.
Contamos con ortodoncia tradicional (metálica), estética (brackets transparentes), de autoligado (menos fricción y citas más espaciadas) y ortodoncia invisible con alineadores transparentes como Invisalign® o Spark®.
Depende de tu estilo de vida, necesidades estéticas y el tipo de corrección que necesites. En tu valoración te explicaremos las opciones y te ayudaremos a elegir la más conveniente para ti.
No duele, pero los primeros días puedes sentir ligera presión o sensibilidad. Es totalmente normal y desaparece conforme tu boca se adapta al tratamiento.
Cada caso es distinto, pero en general los tratamientos duran entre 6 y 24 meses. Todo depende de la complejidad del caso y tu constancia con las indicaciones.
En niños, puede comenzar desde los 7 años con ortopedia preventiva. En adolescentes y adultos, no hay límite de edad: ¡nunca es tarde para tener una sonrisa alineada!
Sí. Los alineadores se retiran para comer, lo que te permite disfrutar tus alimentos sin restricciones. Solo recuerda cepillarte antes de volver a colocarlos.
Tener una sonrisa hermosa es más fácil que nunca
Contamos con facilidades de pago y Meses Sin Intereses

